
嘿,说起Windows7英文版,真是满满的回忆啊!记得那时候,我刚从学校毕业,手头紧巴巴的,买不起什么高大上的电脑。可偏偏,我对电脑的热爱比谁都强烈。于是...
浏览:145 时间:2024-08-25 点击阅读
在这个快节奏的世界里,Ecosystem乐队就像一股清新的空气,透过他们的音乐和图片,带我们逃离喧嚣,进入一个充满绿色和和谐的生态乐园。每当我看到他们的图片,心中就涌起一股暖流...
浏览:71 时间:2024-08-25 点击阅读
嘿,大家好!今天咱们要聊的,是一个超级炫酷的话题——MapInfo电子地图下载!你有没有想过,那些五颜六色的小点点,是怎么帮我们在电脑上找到路的?没错,就是MapInfo!...
浏览:56 时间:2024-08-25 点击阅读
哎呀,说到达思数据恢复的收费标准,我真是又气又笑。你知道吗,他们家的收费标准简直就像是个谜,每次去问价格,我都觉得自己是在猜谜语。首先,他们有个基础的检测费,大概几百块钱。...
浏览:260 时间:2024-08-25 点击阅读
哎呀,说到这个PearOS10,我真的是爱不释手啊!一开始听说它的时候,我还以为是吃的那种梨呢,结果一查才知道,原来是一种操作系统。不过这个名字真的超有感觉,清新脱俗...
浏览:114 时间:2024-08-25 点击阅读
在这个温馨的小家里,每一天都像是一场精心编排的护理剧。我们的主角,老张,一个曾经健步如飞的大汉,如今却因为冠心病成了家里的“重点保护对象”。记得那天,医生的话像晴天霹雳:“老张...
浏览:158 时间:2024-08-25 点击阅读
哟,大家好!今天咱们聊聊怎么把那个老掉牙的XP系统升级到时髦的Win10。我知道,XP那家伙就像个老朋友,陪咱们走过了多少个日日夜夜,但时代在变,咱们也得跟着潮流走,对吧?首先...
浏览:121 时间:2024-08-25 点击阅读
哎呀呀,你知道吗?今天我真的是超级崩溃!我的SD卡,那个装满了美好回忆的小东西,突然在Mac上读不出来了!我的心啊,就像被猫抓了一样,乱糟糟的。照片、视频,那些珍贵的瞬间...
浏览:74 时间:2024-08-25 点击阅读
在朝阳区的一个不起眼的角落里,藏着一家名叫高碑店医院的小天地。这里没有豪华的装饰,也没有高大的招牌,但它却有着一种让人心安的力量。我每次走进这家医院,总能感受到一种莫名的亲切感。...
浏览:137 时间:2024-08-25 点击阅读
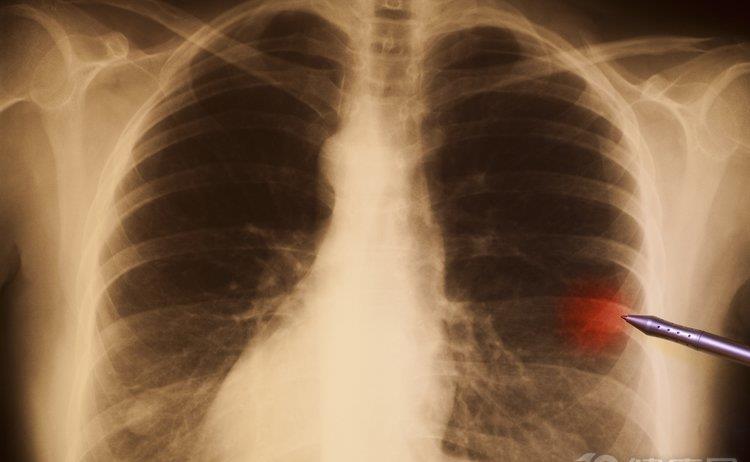
哎呀,说到这个后背疼,真是让人心里一紧。你知道吗,有时候,那种隐隐作痛的感觉,可能不仅仅是劳累过度那么简单。特别是如果你是个抽烟的老烟枪,或者家里有肺癌的遗传史,那可得小心了。...
浏览:72 时间:2024-08-25 点击阅读